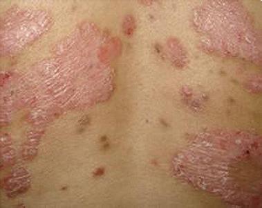
患者的皮损加重该怎么办? 牛皮癣很常见,冬重夏轻是一种难治疗的慢性皮肤病,发病于体表,银白色鳞屑、红色斑块、不同程度的瘙痒是牛皮癣皮损的基本特征。重型牛皮癣者常全身皮疹,瘙痒难耐,睡眠及休息受到严重影响,而且往往久治不愈,患者难免心烦气躁,情绪不安。那么为了防止牛皮癣皮损加重该怎么办?让郑州市银屑病研究所的医生为您加重。

>>>推荐阅读:牛皮癣患者可以吃哪些水果<<<
一、常见的寻常型牛皮癣可以迅速发展,发展较快的急性损害的炎症较重,颜色红,鳞屑少,分布广,较分散。由于病情发展的快,牛皮癣患者会存在一种错误的心理,急于想疾病而盲目滥用药物,盲目忌口。牛皮癣进展期不能用刺激性药物,应着重全身治疗,以免转型。治疗期间,忌口范围不应太广,会引起营养不良,反而对身体有害。
二、有些牛皮癣的重症患者是由于用药失误,导致牛皮癣恶化的。特别是长期依赖激素,大面积涂抹外用药膏的,牛皮癣很容易在停药后反复,而且皮损程度会更严重。因此治疗牛皮癣的药物,应遵从医生叮嘱,在专业医生的指导下使用,牛皮癣患者不可擅自使用激素类药物,也不能随便听信和使用牛皮癣的偏方,要知道,那些都是没有科学依据的,要坚持用药,不要随便停药换药。
三、有些牛皮癣患者皮肤表面会带有瘙痒的感觉,让人无法忍受,在这里医生提醒患者尽量不要用是抓痒,这样只会是病情加重,指甲里隐藏的细菌极有可能导致感染,带来不必要的后果。实在难忍时可以用手拍一拍,缓解一下。
患者的皮损加重该怎么办? 对于牛皮癣患者来说平时需要多吃一些有营养健康的食物,不吃或者少吃辛辣发物的食物,这样可以增强自身的抵抗力,要养成良好的生活习惯,注意好情绪的调节,要勤洗澡,杜绝感染现象的发生。最后,祝牛皮癣患者早日康复。
地址:郑州市金水区南阳路227号
电话:037155009888